Case-Based Modules > Case 33 > Stage 3
You start IV vancomycin (targeting a trough level of 15-20), ceftriaxone 2g q12h, ampicillin 2g q4h, and acyclovir 10mg/kg q8h. You opt to perform an LP first, sending off cell count and differential, protein, glucose, Gram stain and culture, HSV PCR.
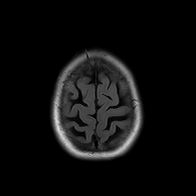
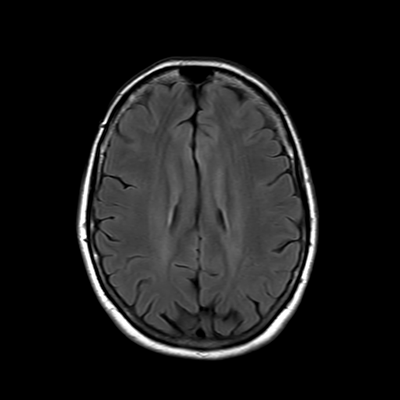
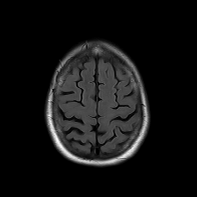
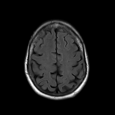
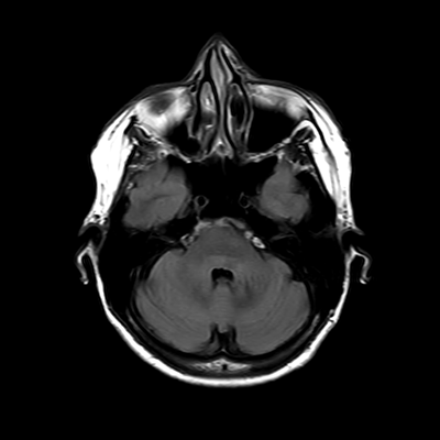
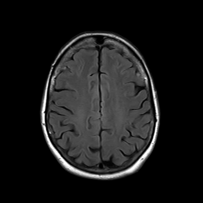
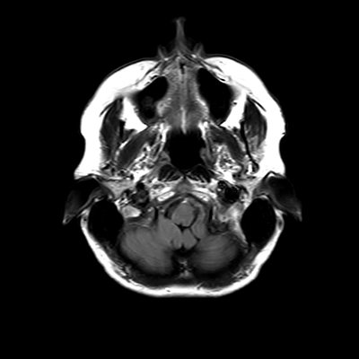
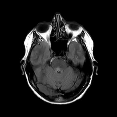
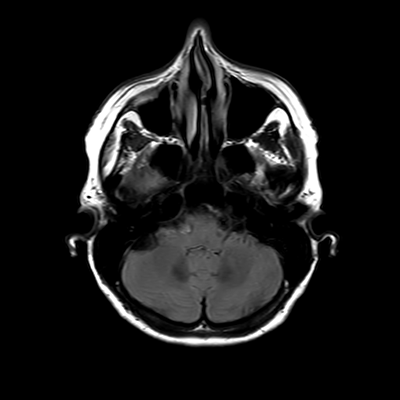
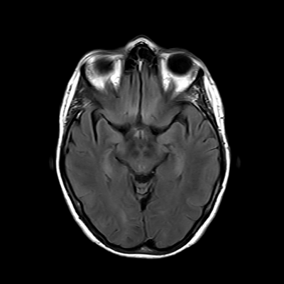
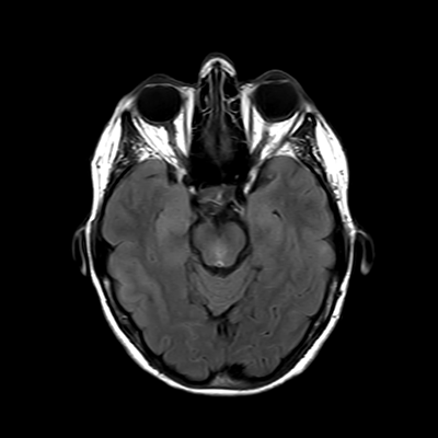
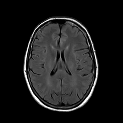
You also obtain an MRI of his brain once it's clinically safe to do so.
MRI brain (FLAIR)
1/18
2/18
3/18
4/18
5/18
6/18
7/18
8/18
9/18
10/18
11/18
12/18
13/18
14/18
15/18
16/18
17/18
18/18
▲
▼
You are now very concerned that he truly has an infectious meningoencephalitis.
Neurology residents: Which of the following CSF profiles is the patient most likely to have?
WBC 10 (90% lymphocytes), RBC 2, protein 65, glucose 50
WBC 200 (70% PMNs), RBC 3, protein 85, glucose 39
WBC 1000 (85% PMNs), RBC 4, protein 112, glucose 35
WBC 50 (60% PMNs), RBC 515, protein 103, glucose 40
Neurosurgery residents: Which of the following CSF profiles is the patient most likely to have?
WBC 10 (90% lymphocytes), RBC 2, protein 65, glucose 50
WBC 200 (70% PMNs), RBC 3, protein 85, glucose 39
WBC 1000 (85% PMNs), RBC 4, protein 112, glucose 35
WBC 50 (60% PMNs), RBC 515, protein 103, glucose 40
Go back