Case-Based Modules > Case 5 > Stage 4

The patient's ICPs improve, and have settled out between 9-14mmHg throughout the day. He requires some alternating boluses of 23.4% NaCl or mannitol for some occasional ICP spikes over the next few days.

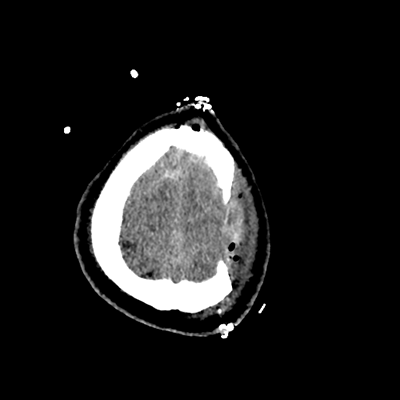
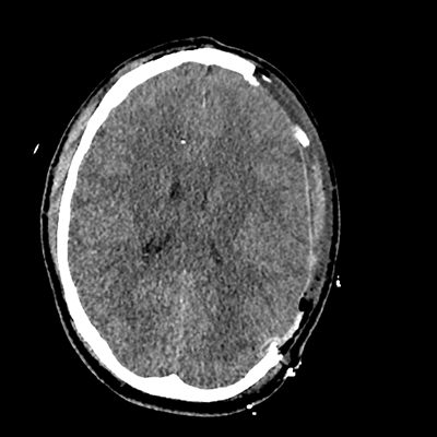
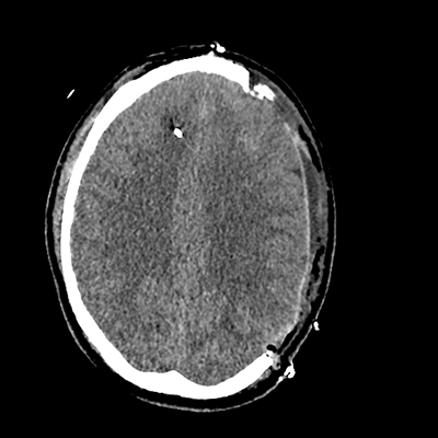
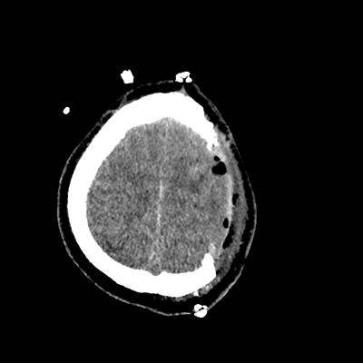
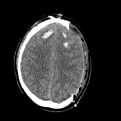
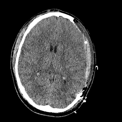
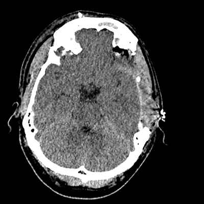
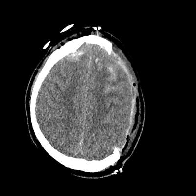
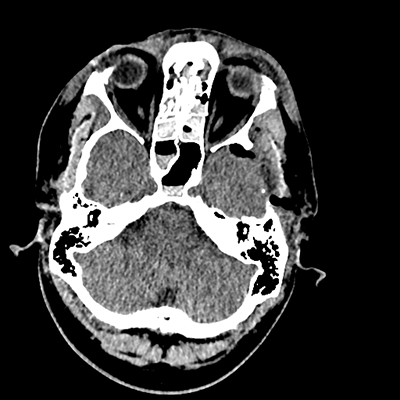
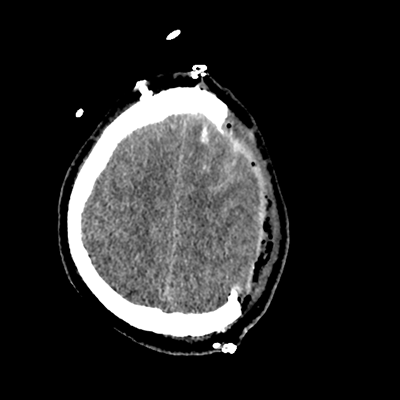
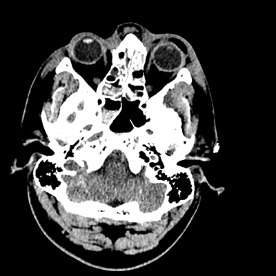
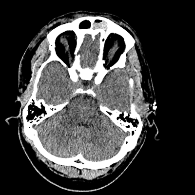
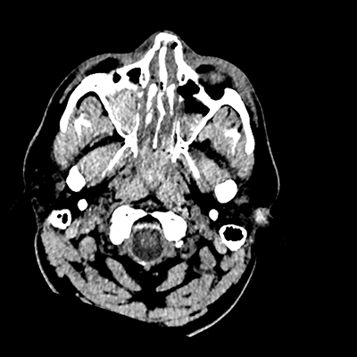
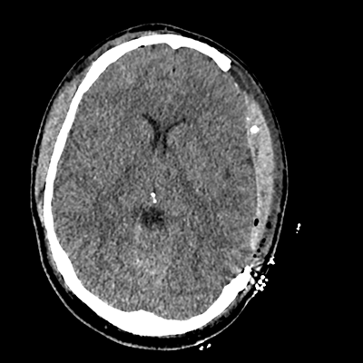
On day 5 of admission, he begins having intracranial hypertension again, spiking up to 40mmHg. You bolus with propofol and fentanyl, to no avail. You then push 30mL of 23.4% NaCl, which provides some brief improvement, allowing you to quickly get a non-contrast head CT. Unfortunately, he's now back up to 36mmHg. You review his labs, and note the following: Na 150, K 3.8, Cl 119, HCO3 18, BUN 21, Cr 0.85, glucose 136, sOsm 320.

NCHCT
NCHCT 1/20 1/20
NCHCT 2/20 2/20
NCHCT 3/20 3/20
NCHCT 4/20 4/20
NCHCT 5/20 5/20
NCHCT 6/20 6/20
NCHCT 7/20 7/20
NCHCT 8/20 8/20
NCHCT 9/20 9/20
NCHCT 10/20 10/20
NCHCT 11/20 11/20
NCHCT 12/20 12/20
NCHCT 13/20 13/20
NCHCT 14/20 14/20
NCHCT 15/20 15/20
NCHCT 16/20 16/20
NCHCT 17/20 17/20
NCHCT 18/20 18/20
NCHCT 19/20 19/20
NCHCT 20/20 20/20



Go back