Case-Based Modules > Case 11 > Stage 3

An EVD is able to be placed successfully, without issue. It is left open to drain at 15cmH2O at the tragus. The post-procedure head CT shows stable hemorrhage burden, a mild improvement in ventricular caliber, tip of the ventriculostomy catheter right at the foramen on Monro, and no tract hemorrhage.

NeuroIR gets consulted and reviews the images. They prepare the angio suite and their team. Anesthesia comes to get the patient and brings them downstairs.

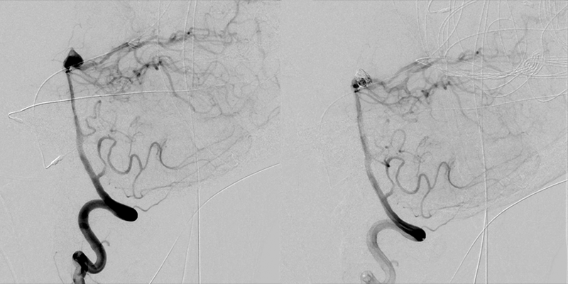
General anesthesia is maintained for the procedure. A basilar tip aneurysm, measuring 8mm x 4mm x 7mm, as well as a right ophthalmic artery aneurysm, measuring 1.2mm x 1mm x 1.5mm, are identified. The basilar tip aneurysm is successfully coiled. The common femoral arteriotomy is closed with a closure device. The patient is kept intubated and sedated and is brought up to the NCCU post-procedurally.

DCA before/after

(Before and After)

DCA before/after
Go back Next